歡迎訪問寶雞市人民醫院官網!
患者,老年男性,近期來寶雞市人民醫院腫瘤血液風濕免疫內科就診,主管醫生詳細詢問病史,臨床體征等,初步懷疑肝血色病,和醫學影像科醫生商討后,決定進行肝臟的鐵定量成像?;颊吲浜夏?,順利完成了磁共振檢查,從影像征象和定量數據印證了臨床醫生的診斷,為治療明確了方向,也為后續療效評估提供了定量信息對比。

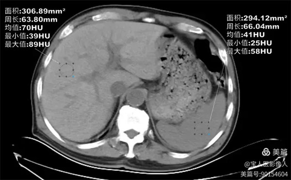
CT軸位,肝形態,大小正常,而CT值約70HU,較正常肝實質密度增高。

T2WI冠位,軸位,肝實質信號明顯降低,呈“”黑肝征”,而脾臟信號正常。

T1WI圖,軸位,肝實質信號仍呈明顯低信號。

同、反相位,肝實質信號反相位略不均勻升高。

R2*圖,肝實質信號不均勻明顯升高。

R2*圖,測量全肝不同部位肝實質的R2*值都明顯升高。
科普:肝臟鐵過載
定義:鐵在體內過度沉積,并導致重要臟器(尤其是心臟、肝臟、垂體、胰腺和關節)結構損害和功能障礙。
病因分類
原發性鐵過載,又稱遺傳性血色病(HH),于1865年由 Trousseau首先報道,過去認為是由于飲酒過多或飲食等外界原因引起,后證明是常染色體隱性遺傳性疾病。
繼發性肝內鐵過載的病因
鐵負荷貧血:如地中海貧血、鐵粒幼細胞性貧血、溶血性貧血、再生障礙性貧血、吡哆醇效應性貧血、丙酮酸激酶缺乏癥。
慢性肝病:如乙型和丙型肝炎、酒精性肝病、非酒精性脂肪性肝病和遲發性皮膚卟啉病。
過量的紅細胞輸注、鐵葡聚糖注射和長期血液透析。
其他原因:包括新生兒鐵超負荷、鐵攝入過多等。
診斷標準
在排除活動性肝炎、肝病、腫瘤、溶血和酗酒等因素的影響后,SF(血清鐵蛋白)>1000μg/L。
肝臟鐵過載臨床檢測意義
鐵過載是一種全身性代謝性疾病,肝臟是主要的鐵儲存器官,是第一個顯示鐵超載的器官,也是唯一一個其鐵濃度與體內總鐵呈線性關系的器官。因此,肝臟鐵含量的檢測有重要意義:
?、僦笇Ц卫w維化分級;
?、谠u估含鐵肝硬化結節情況,同時量化其內鐵,評估癌癥幾率、鐵水平與發生肝癌疾病的關系;
③于各種鐵過載情況下,明確總鐵容量與人體鐵中毒關系;
?、茴A測肝鐵量在患者臨床治療過程中的檢測意義;
?、菰u估肝鐵水平和心臟、胰腺組織或者其他部位鐵沉積情況的聯系。
故探尋一種安全無創、操作簡便以及結果可靠的檢測手段具有重要意義。
肝臟鐵檢測的方法
肝穿刺活檢金標準,但取樣誤差大(同一肝臟不同部位 LIC 差異可達 30%),且鐵過載患者常伴血小板減少,活檢出血風險高。
血清標志物(鐵蛋白、轉鐵蛋白)鐵蛋白受炎癥 / 感染影響大,特異性差。
超聲 / CT僅能定性判斷(如肝密度增高),無法量化 LIC。
MRI 成為非侵入性量化 LIC 的首選方法——ESGAR/SAR 指南明確 R2 * 弛豫測量法(1.5T/3T) 是目前證據最強、最實用的一線技術,具有采集快、重復性好、動態范圍寬的優勢。
因此,肝鐵過載的精準量化是指導治療、改善預后的關鍵,而 MRI 已取代活檢成為主流方法。
溫馨提示
寶雞市人民醫院醫學影像科在全市較早應用GE3.0T靜音磁共振開展肝臟磁共振成像,如平掃,增強,DWI,肝細胞特異性對比成像(Gd-EOB-DTPA),以及多種定量技術…等,在肝病變的診斷、鑒別及治療評估方面積累了豐富的經驗。我們將不斷學習前沿知識,擴展MR應用范圍,挖掘潛在功能,合理應用新技術造?;颊摺?/p>
咨詢電話:0917—3272322 3272657
地址:寶雞市經二路新華巷24號 電話:0917-3272497 Email:bjsrmyydb@163.com
乘坐車次: 北門:4路、5路、6路、7路、8路、9路、10路、17路、36路 南門:33路、34路、37路、42路
Copyright ? 2021 版權所有:寶雞市人民醫院 陜ICP備18007727號-2 陜公網安備 61030002000113號 技術支持:伙伴網絡