歡迎訪問寶雞市人民醫院官網!

頸動脈作為大腦的“輸油管”,隨著年齡增長及相關病理原因會出現斑塊,頸動脈被“垃圾”堵塞了該怎么辦?
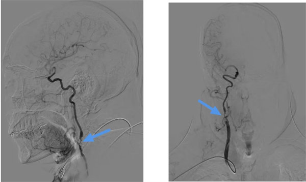
64歲的劉先生,因為長期間斷頭暈不適,發作時天旋地轉,在外院就診查頸部血管B超提示:雙側頸總動脈粥樣硬化合并斑塊形成,右側頸內動脈狹窄。在我院行DSA檢查:右側頸總動脈分叉部及頸內動脈起始處后壁鈣化斑塊伴重度狹窄,狹窄率約95%。

患者右側頸動脈重度狹窄,隨時可能閉塞,如果不及時處理,可能引起大面積腦梗死,出現嚴重后遺癥,輕者出現偏癱長期臥床,嚴重的引起昏迷。醫務部組織疑難病例MDT討論,麻醉科、神經內科、介入科、心血管內一科、影像科、功能科等科室參加討論,制定最佳治療方案。經過充分的術前準備,由神經外科血管組團隊為患者實施了頸動脈內膜剝脫術(CEA),術前彩超定位頸動脈分叉位置,利用顯微技術,通過頸前5cm小切口暴露右側頸總動脈、頸內動脈、頸外動脈等結構,仔細剝離并切除增厚的內膜斑塊。術中由功能科全程腦血流監測,保障手術安全進行。整個手術過程用時短,出血量?。▋H5毫升左右)。術后嚴密觀察患者血壓以及頸部切口情況,規范血壓管理,預防血流高灌注和術后出血等相關并發癥。目前術后1周,患者恢復良好,原有頭暈癥狀已消失,取得了預期效果。

專家科普
頸動脈狹窄是指因頸動脈管腔狹窄導致腦血流減少,主要由動脈粥樣硬化(占 90% 以上)引起,好發于頸總動脈分叉處(頸內動脈起始段)。狹窄程度以管腔直徑減少百分比評估(如 70% 狹窄),是缺血性腦卒中的重要危險因素(約 20%-30% 卒中由此引發)。
頸動脈狹窄是缺血性卒中的重要可干預靶點,早期發現(通過超聲篩查)和規范治療(藥物 + 手術 / 介入)能顯著降低卒中風險。選擇 CEA 或 CAS 需結合患者個體情況,由卒中中心相關核心科室,例如神經外科、介入科、神經內科多學科團隊(MDT)評估。及時干預,可有效阻斷從 “狹窄” 到 “卒中” 的病理鏈條,守護腦血管健康。
頸動脈內膜剝脫術(CEA)是一種通過外科手術切除頸動脈內壁斑塊、恢復血管通暢性的治療方法,主要用于預防因頸動脈狹窄導致的缺血性腦卒中(中風)。它是預防頸動脈狹窄相關卒中的經典外科手段,具有明確的長期獲益,尤其適用于癥狀性重度狹窄和無癥狀高?;颊?。
地址:寶雞市經二路新華巷24號 電話:0917-3272497 Email:bjsrmyydb@163.com
乘坐車次: 北門:4路、5路、6路、7路、8路、9路、10路、17路、36路 南門:33路、34路、37路、42路
Copyright ? 2021 版權所有:寶雞市人民醫院 陜ICP備18007727號-2 陜公網安備 61030002000113號 技術支持:伙伴網絡