歡迎訪問寶雞市人民醫院官網!

兩面錦旗格外醒目,為介入科病區又增添了一抹亮色!是錦旗,是信任,更是責任,是醫護與患者的雙向奔赴!
82歲張師傅,2月前因腹痛在我院介入科住院,期間檢查提示腸系膜上動脈閉塞,行腸系膜上動脈取栓、溶栓術,患者腸系膜上動脈完全開通,腹痛緩解出院。

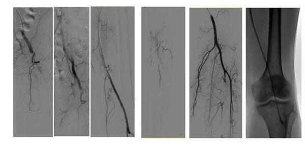
4月1日張師傅因左下肢發涼、疼痛,難以耐受,遂再次來院。入院時左下肢皮溫低,雙側股動脈可觸及,左側腘動脈、足背動脈未觸及。柏杖勇副主任醫師認真評估病情,在馮建新主任的指導安排下,完善術前檢查----下肢動脈CTA,提示左側髂外動脈下段閉塞。

CTA:左側髂外動脈閉塞
積極行術前準備,急診在局麻下行“左下肢動脈造影術+血栓抽吸術+置管溶栓術”, 髂動脈造影提示左側髂外動脈閉塞,局部大量血栓形成,反復抽吸后股淺動脈、腘動脈開通,膝下動脈部分開通,遂留置溶栓導管動脈溶栓治療2天,動態觀察下肢動脈血運及穿刺鞘管情況。

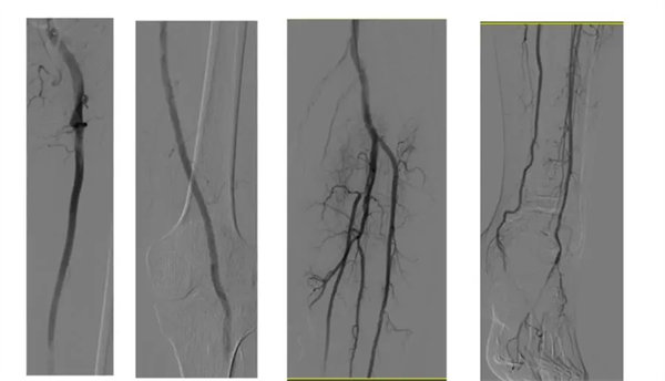
再次行“左下肢動脈造影術”提示:左側髂外動脈、股淺動脈、腘動脈完全再通,膝下動脈基本開通,左側足底、左側足背動脈弓基本完全顯影,左下肢動脈血運基本完全重建,患者左下肢缺血癥狀明顯緩解,術后患者恢復良好,治愈出院。

一面錦旗,一份責任;一句感謝,一份動力。這不僅是對醫護人員工作的充分肯定,更是醫者踐行初心使命的完美詮釋。介入科在科主任馮建新的帶領下,將繼續秉承“敬佑生命,救死扶傷”的職業精神,以專業技術為基礎,高標準、嚴要求,為廣大患者排憂解難,書寫新時代醫者擔當。
地址:寶雞市經二路新華巷24號 電話:0917-3272497 Email:bjsrmyydb@163.com
乘坐車次: 北門:4路、5路、6路、7路、8路、9路、10路、17路、36路 南門:33路、34路、37路、42路
Copyright ? 2021 版權所有:寶雞市人民醫院 陜ICP備18007727號-2 陜公網安備 61030002000113號 技術支持:伙伴網絡