歡迎訪問寶雞市人民醫院官網!

磁共振成像技術臨床應用分享之小腸磁共振成像—MRE
病例1:患者,老年男性,以腹痛腹脹不適就診,常規腹部CT,腸系膜血管CT成像,由于腸管堆積,內容物影響,病變與腸管密度差別不大,未發現明顯病變。經多學科會診商討后,建議行小腸磁共振成像(MRE)檢查,進一步查明病因。

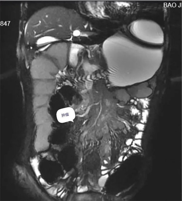
圖1,胃,小腸,結腸充盈顯示良好,局部小腸壁增厚,腸系膜病變組織包繞腸系膜動脈及分支血管塑形生長呈等T1,等T2信號腫塊。

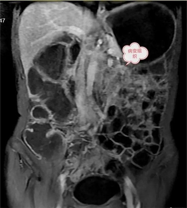
圖2,動脈期,病灶無明顯強化,邊緣輕度強化。

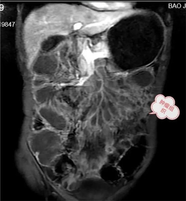
圖3:延遲期,顯示腸系膜根部病變逐漸輕度強化。胃,結腸充盈顯示良好,腸壁強化,未見異常。

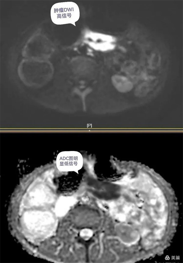
圖4:磁共振功能成像清晰顯示病變DWI呈明顯高信號,ADC圖呈低信號,腹膜后多發小結節灶。

圖5:DWI腫瘤呈明顯高信號,ADC圖呈低信號,中心為被包繞的腸系膜血管。
在普外科副主任陸雄,主診醫師陳海偉醫生的支持、協作下,成功開展了我院患者第一例小腸磁共振成像檢查,據查此病為少見病例,為臨床診療指明方向,為患者查明病因。
前期,為驗證1.5T磁共振小腸成像圖像效果,醫學影像科副主任張軍暉自己先按胃腸準備要求,分多次服用大量甘露醇與水混合液,設計好掃描序列,在科室同事的配合下,做了第一例小腸磁共振成像,最終圖像效果良好(如下圖6,圖7),能達到診斷要求。

圖6:胃,小腸充盈顯示良好,壁光滑,與周圍脂肪形成鮮明對比。

圖7:升、降結腸充盈顯示良好,結腸袋清楚,腸壁光滑,厚薄均勻,在腸液和周圍脂肪高信號之間對比鮮明。
小腸磁共振成像技術介紹
磁共振小腸造影(magnetic resonance enterography, MRE)是一種非侵入性的影像檢查學方法,能提高腸道全景成像,不僅能夠顯示,觀察腸壁、腸腔、腸外和小腸在腹腔內的位置、結構,甚至能夠兼顧觀察小腸周圍其他臟器(如肝、脾、膀胱等)的情況,對克羅恩病和小腸腫瘤等腸管增厚或腫塊性病變具有較高的診斷價值。無電離輻射,適宜為年輕患者長期的評估和隨訪手段。MRE已逐漸成為小腸疾病診斷的重要手段。
小腸磁共振成像優勢
1.無創,無電離輻射,適宜年輕患者診斷,以及長期的評估和隨訪手段。
2.軟組織分辨率高,對比良好,對小病灶的顯示更佳。
3.多方位、多序列成像,區分病灶的不同組織成分及性質;功能成像對良惡性鑒別效能高。
4.小視野靶向成像,精準顯示病灶區域解剖細節。
患者前期準備工作很重要

表1,患者按要求配合檢查至關重要。
溫馨提示
寶雞市人民醫院醫學影像科自2014年開展了全市首例小腸CT成像,至今已十年,科室先后常規開展了胃CT成像、小腸CT成像、結直腸磁共振成像的診斷和腫瘤TNM分期,在胃腸道疾病的診斷和檢查中積累了豐富的經驗。小腸磁共振成像技術的成功應用于臨床,又為胃腸道疾病的診療,多一種無創無輻射的影像檢查選擇,也增添一把診斷利器,希望能給胃腸道疾病的患者的診療帶來幫助。
咨詢電話:0917-3272322;3272657;13209214449
地址:寶雞市經二路新華巷24號 電話:0917-3272497 Email:bjsrmyydb@163.com
乘坐車次: 北門:4路、5路、6路、7路、8路、9路、10路、17路、36路 南門:33路、34路、37路、42路
Copyright ? 2021 版權所有:寶雞市人民醫院 陜ICP備18007727號-2 陜公網安備 61030002000113號 技術支持:伙伴網絡