歡迎訪問寶雞市人民醫院官網!
患者磁共振檢查,可清晰地顯示正常腮腺導管主干和大分支導管。

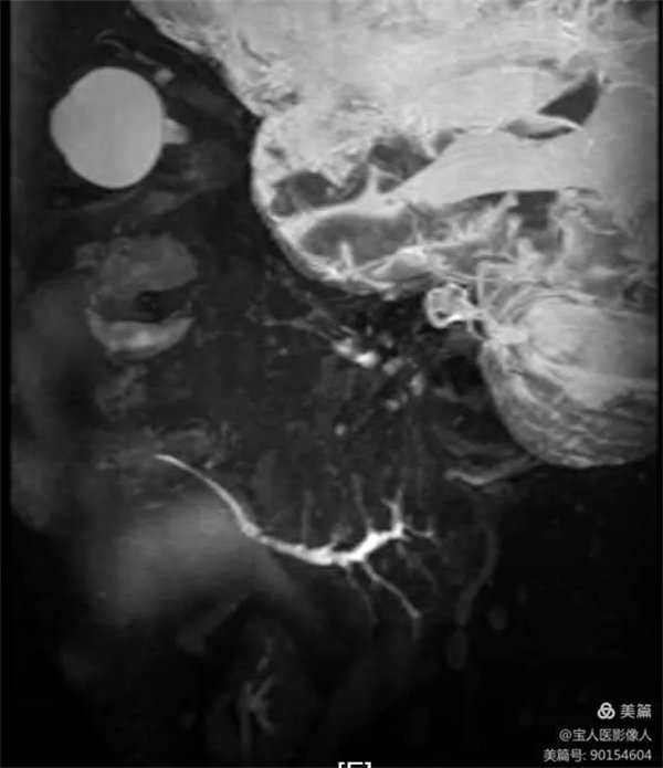
圖1,右側腮腺主導管和分支

圖2,左側腮腺主導管及分支

圖3,雙側腮腺導管主干及分支軸位圖像

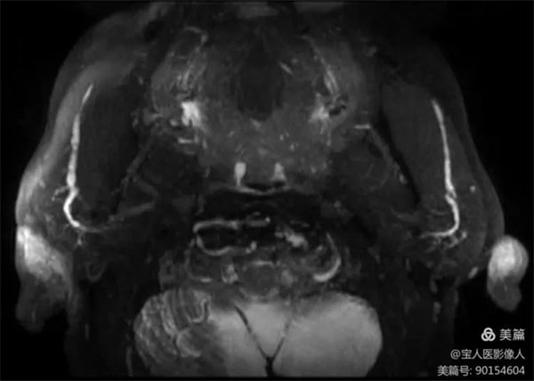
圖4,雙側腮腺導管主干及分支容積顯示技術圖

圖5,斜位顯示腮腺導管主干及分支容積顯示技術圖

圖6,多角度顯示腮腺導管主干及分支容積顯示技術圖
醫學影像科副主任張軍暉醫生介紹,此圖像是在常規檢查中重建顯示腮腺導管主干及部分分支。如果行專門的腮腺導管磁共振成像技術,通過一些前期準備及掃描技術優化,成像效果會更好,結合強大的后處理技術,會更好的顯示腮腺導管及周圍組織結構。
腮腺導管影像檢查方法
1、腮腺X線造影,經腮腺管口逆行插管注入造影劑,然后進行X線攝影,顯示腮腺導管,為有創性檢查,具有導管破裂及感染的風險,急性腮腺炎發作期不適合做該項檢查。
2、腮腺導管MR成像,為無創性檢查,無需造影劑,避免了X線造影可能因造影劑產生的不良反應及導管破裂及感染的風險,更加安全,已逐步替代腮腺X線造影檢查。
腮腺導管磁共振成像適應癥
觀察腮腺及其導管有無病變,病變的性質和范圍。常用于腮腺腫瘤、慢性腮腺炎等疾病的診斷,也可用于干燥綜合征的輔助診斷。
地址:寶雞市經二路新華巷24號 電話:0917-3272497 Email:bjsrmyydb@163.com
乘坐車次: 北門:4路、5路、6路、7路、8路、9路、10路、17路、36路 南門:33路、34路、37路、42路
Copyright ? 2021 版權所有:寶雞市人民醫院 陜ICP備18007727號-2 陜公網安備 61030002000113號 技術支持:伙伴網絡