歡迎訪問寶雞市人民醫院官網!

近日,我院耳鼻喉科順利完成1例顳骨巖部膽脂瘤手術。
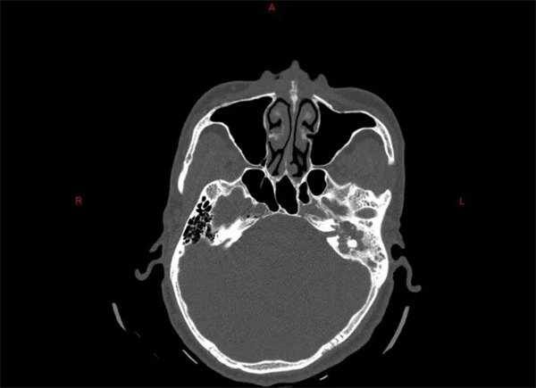
患者白先生(化名),近兩年來因為左耳反復流膿、聽力下降,近3個月又出現左眼閉合不全的癥狀,隨來我院耳鼻喉科就診。科室為其行顳骨CT檢查,結果顯示:患者左側顳骨巖部迷路上型膽脂瘤,侵犯左側內聽道底、耳蝸、前庭、鼓室、乳突、中顱窩底。耳鼻喉科副主任醫師章松林帶領團隊認真完善術前準備,精心設計手術方案,計劃為患者實施經耳蝸徑路左側巖部膽脂瘤切除、耳大神經移植面神經修復、腹部取脂肪左側中耳封閉術。
手術如期開展,術中見患者左側顳骨巖部膽脂瘤,侵犯范圍與術前評估基本相符,膽脂瘤包裹面神經垂直段、錐曲段、水平段及膝狀神經節,其中水平段與膝狀神經節處破壞顯著,遂取耳大神經橋接面神經。術后患者順利出院繼續面神經康復訓練。


手術是顳骨巖部膽脂瘤治療的主要方法。由于巖骨復雜的三維解剖結構,即使是經驗豐富的外科醫生也很難保證以最低的復發率完全根除病變。該例手術順利完成,標志著我院耳鼻喉科向側顱底外科領域又邁進了堅實的一步!
醫學科普
顳骨巖部膽脂瘤,是一種發生在顳骨巖部、呈膨脹性緩慢生長的表皮樣病變,其發病率在巖錐病變中約占4%~9%。可為先天性、獲得性或醫源性。臨床表現常為耳流膿惡臭、進行性面癱、眩暈和耳聾。顳骨巖部膽脂瘤具有一定的局部侵襲性,侵犯巖骨和周圍的區域,如斜坡、鼻咽部、蝶竇、顳下窩,甚至侵及硬膜內。此外,PBC也可對迷路和面神經造成一定的侵犯而使其功能受到影響。據系列文獻報道,PBC中面神經麻痹的發病率很高,為34.6%~100%。由于病變表現多樣性、生長緩慢、隱匿生長不易被察覺、復雜的顱底位置、周圍毗鄰重要的神經血管結構(面神經、頸內動脈、乙狀竇、頸靜脈球、后組顱神經、硬腦膜),顳骨巖部膽脂瘤的診斷和治療存在一定難度。
地址:寶雞市經二路新華巷24號 電話:0917-3272497 Email:bjsrmyydb@163.com
乘坐車次: 北門:4路、5路、6路、7路、8路、9路、10路、17路、36路 南門:33路、34路、37路、42路
Copyright ? 2021 版權所有:寶雞市人民醫院 陜ICP備18007727號-2 陜公網安備 61030002000113號 技術支持:伙伴網絡